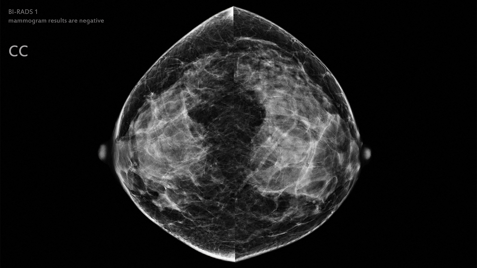
(MedPage Today) — Artificial intelligence (AI) could potentially be used to safely exclude low-risk mammograms from radiologist review, according to results from a prospective noninferiority trial.
When comparing standard double-blind reading…
Source:
www.medpagetoday.com
Medical Disclaimer:
This content is shared for informational and educational purposes only.
It does not constitute medical, legal, or policy advice.
Healthcare decisions should always be made in consultation with qualified professionals.






