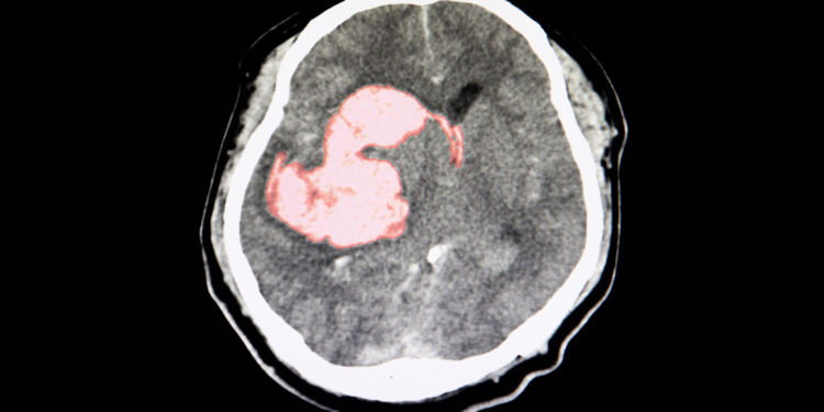
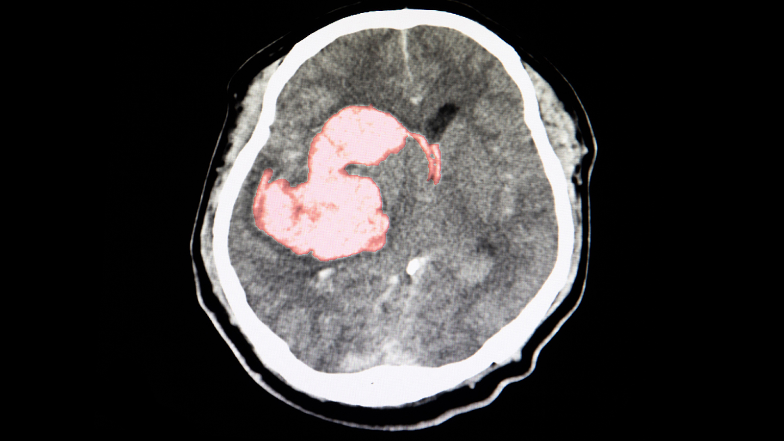
(MedPage Today) — Additional antihypertensive treatment with a three-drug polypill benefitted patients after intracerebral hemorrhage (ICH), the placebo-controlled TRIDENT trial found.
Among ICH survivors already on good background therapy randomized…
Source:
www.medpagetoday.com
Medical Disclaimer:
This content is shared for informational and educational purposes only.
It does not constitute medical, legal, or policy advice.
Healthcare decisions should always be made in consultation with qualified professionals.






