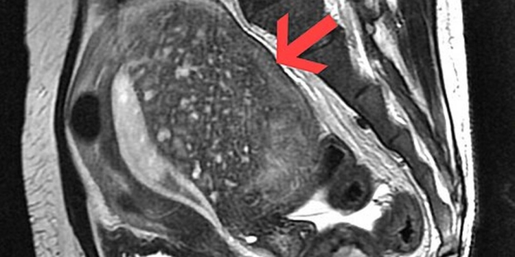
Despite being relatively common, adenomyosis remains under-recognised, with many women receiving a diagnosis only after years of symptoms
Source:
www.thehindu.com
Medical Disclaimer:
This content is shared for informational and educational purposes only.
It does not constitute medical, legal, or policy advice.
Healthcare decisions should always be made in consultation with qualified professionals.






