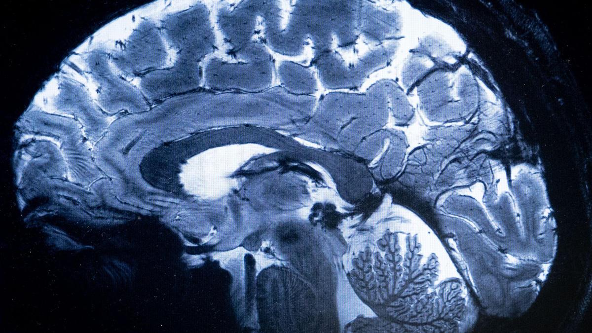
The study analysed the cerebral spinal fluid — a clear liquid surrounding and protecting the brain and spinal cord — of more than 100 schizophrenia patients and healthy people
Source:
www.thehindu.com
Medical Disclaimer:
This content is shared for informational and educational purposes only.
It does not constitute medical, legal, or policy advice.
Healthcare decisions should always be made in consultation with qualified professionals.






