
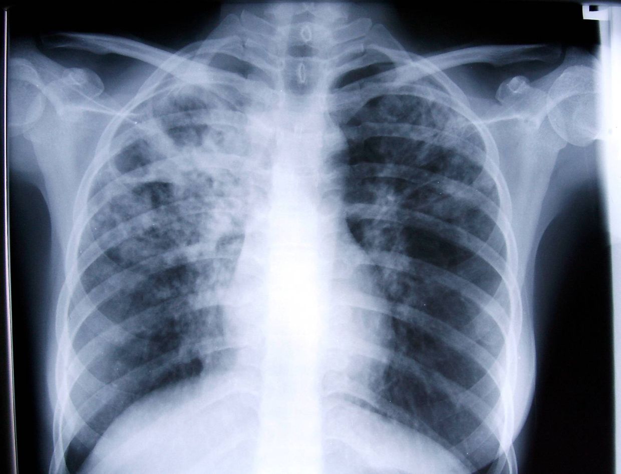
Human Writes: Keeping track of TB in our midst Read full story
Source:
www.thestar.com.my
Medical Disclaimer:
This content is shared for informational and educational purposes only.
It does not constitute medical, legal, or policy advice.
Healthcare decisions should always be made in consultation with qualified professionals.






